こんにちは(^O^)
当院はご予約の方が優先です。 来院される時には事前のご連絡をお願いします。
こんにちは(^O^)
こんにちは。
那珂川町中原にある古賀歯科医院のDA原田です。
入社して初めてのブログです。よろしくお願いします(^O^)/
最近梅雨に入りじめじめしており飼っている猫も
涼しいところを探しています。
でもまだ毎日部屋中走り回っていてすごく元気なので
私も負けないように一緒に遊んでいます
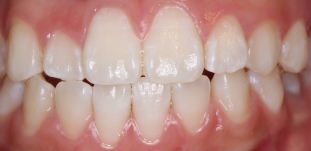
話は変わりますが一か月程前からホワイトニングを始めました!!
学生時代から歯の色には悩んでいたので、すごく白くなり嬉しく思います。
ホワイトニング前
ホワイトニング後
当院ではホームホワイトニングのみを行っております。
ホームホワイトニングはオフィスホワイトニングに比べ
色がとてもきれいに仕上がるということと
ご自宅で行うので来院回数が少なくて済みます。
やり方としては専用のマウスピースに薬剤を入れたものを
約一か月間寝ている際に装着してもらいます。
少しでも悩んでいる方は是非やってみて下さい(^◇^)
自分で体験してみて、歯が白くなるだけで
顔の印象がすごく明るくなるんだなと感じました。
皆さんとは主にカウンセリングで関わらせてもらっていますので
ホワイトニングについて興味があればいつでも相談してくださいね☆
こんにちは!
福岡県那珂川町中原の古賀歯科医院Drの木吉です!
今回はホワイトニング治療とセラミック治療の違いについてお話します。
歯を白くしたい!と思った時に真っ先に思いつくのは
「ホワイトニング治療」ではないでしょうか?
ホワイトニング治療は歯を白くする効果的な方法の一つです!
歯の表面に付着した色素のみを落とすのではなく、
歯そのものの色を白くしていく治療です。
歯の表面を傷つけることなく、薬剤を用いて歯自身の色素を分解して
現在の歯の明るさを上げて白くしていきます。
ここで注意していただきたいのですが、
金属の被せ物や、つめものの変色に対してはホワイトニングでは対応できません。
詰め物やセラミックでの治療を予定している場合は
治療計画を立て先にホワイトニングを行います!
そうすることで、セラミックと天然歯との
色合いをあわせることができ、
全体の明るさを調整することができるからです。
ホワイトニングやセラミック治療について詳しく聞きたい方は
お気軽にスタッフまでお問い合わせくださいね。
当院はご予約の方が優先です。 来院される時には事前のご連絡をお願いします。
こんにちは(^o^)/
筑紫郡那珂川町中原にある古賀歯科医院の
受付の林田です💕

6月に入りすぐに九州も梅雨入りしましたが、
最近になり雨の日が多くなりました🐟
気づいた方もいらっしゃるかもしれませんが、
古賀歯科医院も6月の飾りつけをしています☺☂

私の手作りです🌟💕

今月は「歯と口の健康週間」がありました!
TV番組やいろいろな場所でイベントが開催されました✨
古賀歯科医院でも、「隣接面カリエスについて」のイベントを
行いました!!
「隣接面カリエス」とは、歯と歯の間に出来るむし歯のことで、
発生する場所が見えにくい部分であり、歯ブラシだけでは
汚れを落とすのが難しく、気づいた時には大きくむし歯が広がっている
ことが多いです。
予防法は、歯ブラシ以外のフロスや歯間ブラシなどの補助清掃器具
を使用すること。
歯科医院で定期的に、診査診断を受けることです。
皆さん指導後は、さっそくフロスや歯間ブラシを購入し、
使用して頂けたみたいで、とても嬉しい気持ちになりました♥
皆さんが、いつまでも自分の歯で、おいしく食事ができ、
充実した食生活や、楽しい会話など生涯にわたって、
満足度の高い生活を送れるように!
私たちもお手伝いさせて頂きたいと思っております😊
最近、歯のチェック行っていないなと思われた方、
この機会に、歯の検診を受けてみられてはいかがでしょうか✨
こんにちは。
那珂川町中原にある古賀歯科医院のDA 稗田です。
古賀歯科医院に入社し、初めてのblogになります。
早速、趣味の話を一つさせて頂きたいのですが、
私は、ハンドメイドを趣味にしています。
特に、アクセサリーを多く作ります。
初めは、中々自分好みのアクセサリーが見つからず
それなら自分で好きな物を集めて作ってみよー!と
思ったのがきっかけでした。
今では、友人からも「私にも作って!」とお願いされるほどになりました。
まだまだ未熟ですが、これからもいろんな作品を作り、
周りの方にも喜んで頂ける物を作りたいです。
今回、趣味でアクセサリーをよく作るとお話しさせて頂いたのですが、、、
”身につける物”って大事ですよね?
その身につける物によってその人の印象や、人生は変わってしまいます。
それは、お口の中でも関係しています。
被せのお話しを少ししていきますね。
保険診療ではこの様な銀歯がはいることがあります。
保険適用のため、費用を抑えることが出来ますが
見た感じからも暗い印象を与えてしまいます。
又、材料の特徴上せっかく治療したにも関わらず
精度に限界がある為、歯とつめものの間に段差ができてしまい
むし歯が再発してしまうことがあるんです。
せっかく頑張って治した歯が原因で
暗い印象に変わってしまったり、
むし歯が再発したりするのは嫌ですよね?
保険診療では実現が難しいことも可能になるのが自由診療です。
私たちは治療を受ける患者様にとって
最高の人生をおくるための選択
をしてもらいたいと思っています。
白い歯にしたい。
せっかく治療したのに2次的なむし歯になりたくない。
口に入れるものだから安全なものを。
その他にも沢山の思いがあると思います。
いろいろなお声を聞かせて下さい。
スタッフ一同、患者様の最高の人生のお手伝いをしたいと思っています。
当院はご予約の方が優先です。
来院される時には事前のご連絡をお願いします。
古賀歯科医院 092-952-8078
こんにちは!
那珂川町中原にある古賀歯科医院のDH江越です。
先週、大阪に行きました(^О^)
大阪には、以前に何度もセミナーに行かせてもらい、
そのおかげで新幹線に乗って大阪に行くのにはだいぶ慣れました。
今回はセミナーではなく、兄家族に会いに行きました。
兄家族の新居にはじめて行きました(^^)
大阪には甥っ子が2人いて、とっても元気!
よく笑い、よく話し、よく動きます!
子どもの笑顔には本当に癒されます。
ふと、職業病が出てしまい…
どうしても目線は甥っ子たちの口元へ。(笑)
見ると、2人とも白くてキレイな歯がそろっていました(^^)
すごく嬉しかったです!
きっと、お母さんとお父さんが
きちんと仕上げ磨きをしてあげているんだろうな~
と思いながら、ほっこりしました(*^ー^*)
そんなほっこりしている矢先・・・
古賀歯科医院に一人のお子さんが来院されました。
その子は定期検診をしているにも関わらず、
むし歯が出来ているのを発見しました!
歯と歯の間からのむし歯です。
前回のブログで林田さんがお話していた、
隣接面カリエスです!
歯と歯の間のむし歯はある程度大きくならないと
見えないので気づきにくいのです。
その子も痛みなど自覚症状はありませんでした。
このような歯と歯の間のむし歯を防ぐためにフロスを使います!

その子のお母さんにも歯ブラシをした後に
フロスで清掃するよう指導していたのですが、
聞いてみると最近はあまりしていなかったそうです。
小さなお子さんにとっても歯科治療は嫌なものであり、
大変な負担(ストレス)になります。
さらに一度削って治したとしても、
清掃状態が変わらなければ、再びむし歯になります。
これを防ぐために、お口の環境を変えてあげる必要があります。
当院では歯ブラシの当て方やフロスの使い方の指導を積極的に行っています。
むし歯が再びできないように、治療後もしっかりサポートしていきます。
当院はご予約の方が優先です。
来院される時には事前のご連絡をお願いします。
古賀歯科医院 092-952-8078
こんにちは!
福岡県那珂川町中原の古賀歯科医院のDr木吉です!
今回はダイレクトボンディング治療についてご紹介します。
ダイレクトボンディング治療とは、
コンポジットレジン(歯科用プラスチック)を、
直接盛り付けて歯の形を回復する治療法です。
「口の中で直接盛り足して治す」ため、
時間をかけて精密に形や色を復元していきます!
セラミックによる被せ物(クラウン)や
詰め物(インレー)に比べて、
歯を削る量を抑える事が可能です ^^
以下のようなお悩みがある方にお勧めしています!
☆なるべく歯を削らずにきれいにしたい方
☆前歯に隙間がある方
☆前歯の形が気になる方
メリットとしては、
☆歯を削る量が最小限で済む(被せ物と比較して)
☆その日のうちに治療が終了する
☆ある程度、歯の形を変えることが出来る
などがあげられます!
しかし、まだ萌出途中である歯であったり、
むし歯が大きな場合や
治したい歯が被せ物の場合には適応できません。
治療部位や治療範囲などによって異なりますが、
治療時間は30分〜1時間程度です。
興味を持たれた方はお気軽にスタッフまでご相談くださいね!
当院はご予約の方が優先です。 来院される時には事前のご連絡をお願いします。
こんにちは☆那珂川町中原にある古賀歯科医院のDH佐々木です。
先日、福津市のほたるの里というところに行ってきました。
5月下旬からホタルが観賞できるそうです。
観賞しに来ている人たちもたくさんいらっしゃいました!
私が行ったときはたくさんのホタルはいなかったのですが、
ホタルの光はとても綺麗でした。
那珂川町でも中之島公園でホタルの観賞が出来るので
どこかで予定があえば行きたいなと思います。
みなさんも是非行ってみてください。
5月27日は診療後にデンタルショーにスタッフ全員で行ってきました
歯科の様々な会社が集まり最新の機械や器具を説明してくれたり
実際にその器具を使用し体験することができるところもあります!
みんな体験してる様子です。
私たちも体験できたので勉強になりました!
そのあとは歓迎会を行いました
今年度は4人の新人が入社したので人数が一気に増えとても賑やかです!
普段は仕事の話が多いのですが、
この機会にプライベートの話など色々なお話を
たくさんできたのでよかったです。
これからどんどん成長していくのが楽しみですね。
当院はご予約の方が優先です。 来院される時には事前のご連絡をお願いします。
こんにちは。
那珂川町中原にある古賀歯科医院の技工士御手洗です^^
6月のKDCニュースは歯の着色について書いています!
口元は第一印象にとても影響します。
この機会にご自身のお口を確認してみてはいかがですか?
歯の変色の原因としては大きく分けて二つあります。
【外側からの刺激によるもの】
コーヒー、紅茶、赤ワインなどの色がついた飲み物、
カレーやミートソースなどの色が強い食べ物、
喫煙によるタバコのヤニの付着、
など歯の外からきた色素が歯に沈着するタイプの「着色汚れ」
着色を落としたい方にはPMTCがおすすめです!
歯をツルツルに、白く見せたい!という方には
PMTC(プロフェッショナルメカニカルティースクリーニング)
がオススメです。
歯と歯の間や歯と歯肉の境目など、
自分では落とせない歯の隙間の汚れを取り除く治療です。
歯の表面がツルツルになると、汚れが付きにくくなり、虫歯予防にもなります。
【内側からの刺激によるもの】
加齢により歯の内側から黄色くなるもの、
抗生物質などを服用した影響での変色、
歯の神経を取った影響で徐々に起こる「変色」があります。
歯の色を変えたい方には「ホワイトニング」がおすすめです!
気になる方はスタッフに気軽に声をかけて下さい^▽^
詳しく説明させて頂きます♬
他にも、かぶせ物の変色による影響もあります。
前歯に用いられる前装冠(保険専用のかぶせもの)は
表面がプラスティックでできているので、
年数が経つうちに食べ物や唾液の水分を吸収して変色を起こします。
一番の予防は定期的な検診とクリーニングです。
キレイで健康な歯でいつまでも美味しく楽しい毎日を過ごしたいですね!(^^)
当院はご予約の方が優先です。 来院される時には事前のご連絡をお願いします。
こんにちは。
那珂川町中原にある古賀歯科医院の技工士御手洗です
今回は歯の間に食べ物が詰まる原因についてお話しさせて頂こうと思います(^^)
皆さんは、食事をしていて食べ物が歯に詰まるな〜と感じられたことはありますか?
多少であれば問題はありませんが、毎回食事の度につまってしまったり、
痛みを生じてしまう場合は治療が必要な場合があります。
食べ物が詰まりやすい場所として、
歯と歯の間と歯と歯肉の隙間の二箇所があります。
①歯と歯の間
詰まる原因としては
「元々の歯の並び」
「詰め物の形」
「歯の動揺(グラグラすること)による影響」
などがあります。
治療法としては矯正を行ったり、
歯の形態を整えたり、歯を削り詰め物やかぶせ物によって
接触の強さや形態を改善することなどがあげられます。
歯の動揺が原因の場合は、数本の歯をかぶせ物でつなぐこともあります。
②歯と歯肉の隙間
隙間ができる原因としては、
「元々の歯の並び」
「歯周病による影響」などがあります。
元来、歯と歯の間には鼓形空隙(こけいくうげき)
といって適度な隙間が空いています。
歯周病により歯ぐきが下がることでこの空隙が広がると
物が詰まりやすくなります。
叢生(歯の重なり)や歯の欠損などで
歯が傾いていたり隣の歯との段差ができてしまっている場合にも
物が詰まりやすくなります。
この場合は矯正治療や補綴治療で歯の並びを治療していく必要があります。
いずれの場合も、むし歯の原因になったり
歯肉の炎症や骨の吸収が起こってしまうことがあったりします。
適切な治療を受けた後は、毎日フロスや歯間ブラシを使って
汚れが残らないようにしていくことがとても大切です!
当院はご予約の方が優先です。 来院される時には事前のご連絡をお願いします。